インプラントや審美歯科、矯正やホワイトニングは治療の「オプション」、一つの「方法」にすぎない。
私たちは徹底的にコンサルテーションを行い、治療を通じてまず主訴、悪くなった原因を明らかにすることから始めている。
その上で最適な治療方法を提案し、あなたが望んでいる理想の笑顔と共に、ご自身やご家族が叶えたいと願う人生を送ってほしい。そこにアプローチしていきたいと思っている。
ようは歯科治療を通じて、素晴らしい人生を、皆様には送っていただきと本気で考えているのだ。
たかが歯科治療、かもしれない。しかし、されど、歯科治療なのだ。
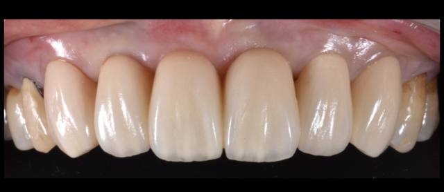
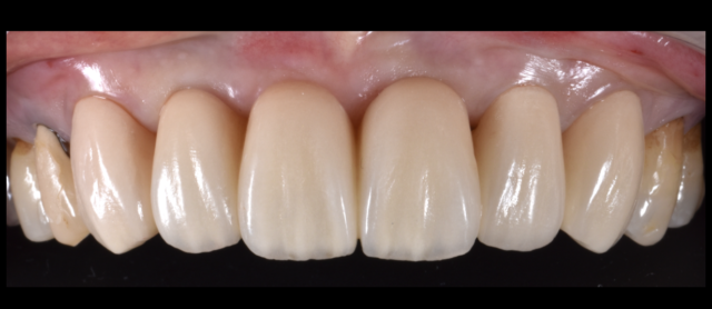
笑顔になりたい、美しくいたい。自分の歯で美味しく食べたい。。
そうした願いは、年齢、性別を問わない、関係ない。
私たちはあたなの「理想」を実現するために、専門医の総合的な技術と経験を生かして治療に取り組んでいる。
具体的には、セラミック・矯正・歯周治療やインプラント、ホワイトニングといった歯科の専門領域を独立したものにせず、領域を横断した総合的な治療メソッドとして考え、治療方法のオプションの提案を行っている。
「専門領域をまたぐ」ということは、「高いレベルで各分野の知識やスキル」と「治療全体を見渡す高い視座」が必要だ。
当院では、かみ合わせと審美歯科のエキスパート、米国補綴専門医である理事長と外科担当の歯周病専門医、虫歯治療、歯の神経の処置、歯を残すプロである歯内療法専門医がチームを組んでインターディシプリナリーアプローチを実践している。
歯科医療最先端ニューヨークで身につけたスキルを通じて、「Smilemakover」、つまりあなたが理想とする「笑顔を作る」、その想いをかなえるための「もうワンランク上の歯科治療」のノウハウを持っている。
各ドクターの専門性を発揮するためのアプローチ、それが私たちの理想とするチーム医療である。
