高岡市の歯医者 シード歯科・矯正歯科 
歯科・矯正歯科・予防歯科・インプラント・インビザライン・審美歯科

症例紹介

case introduction

症例紹介

前歯のオールセラミック治療

患者様の年齢60代女性
治療期間6ヶ月
費用の目安9万円 x 4本
治療のデメリットセラミックインレーの脱離、破折、支台歯の知覚過敏、歯髄炎

※掲載内容は、あくまでも症例です。治療の効果を保証するものではございません。

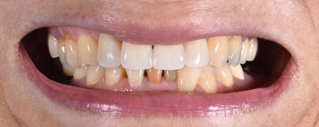
治療前。前歯4本の審美障害、見た目を治したいという主訴で来院されました。

治療後。前歯4本をオールセラミックにやりかえました。

患者さんの希望を反映し、ジルコニアの上にポーセレンを盛り付け、出来るだけ白いものにしています。

一覧に戻る

同じ治療内容の症例