症例紹介
case introduction
症例紹介
審美オールセラミック治療症例

| 患者様の年齢 | 50代女性 |
|---|---|
| 治療期間 | 9ヶ月 |
| 費用の目安 | フルジルコニア によるオールセラミック1本99,000円〜、仮歯5,500円(税別) |
| 治療のデメリット | セラミックのチッピング、歯肉退縮 |
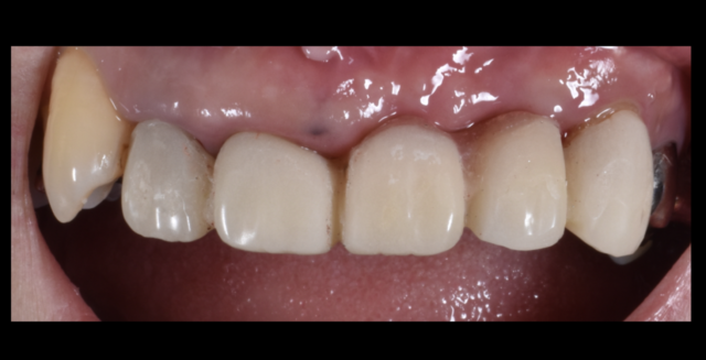
| 備考 | 前歯のインプラント治療を希望され、他院からの紹介により来院。CT分析からインプラントは治療期間、費用、骨造成、治療後のインプラント周囲炎のリスクが高いと判断し、フルジルコニア ブリッジによる治療を選択しました。治療期間も短期間で済み、審美性、噛み合わせなども患者様は満足されていました。 |
※掲載内容は、あくまでも症例です。治療の効果を保証するものではございません。

治療開始時:前歯がグラグラで、きちんとした治療を受けに近所の歯科医院に行ったら、ここの歯科医院を薦められ、来院されました。

治療開始2ヶ月:抜歯後1ヶ月経過。左上の前歯は保存不可能な状態だったので抜歯。治癒を待っている段階。

治療開始6ヶ月経過:仮歯の形態修正をしながら、発音、噛み合わせの状態を確認している。CTによる診断によると、インプラント治療はリスクが高いと判断し、ブリッジによる治療を選択することに。

治療開始8ヶ月経過:歯肉の治癒が進んだので、最終的な仮歯の形を決定。オールセラミックによるブリッジの作製開始。

2つ目の仮歯セット時

治療終了時:オールセラミック(ジルコニアフレームとポーセレン)によるブリッジをセットしました。


