症例紹介
case introduction
症例紹介
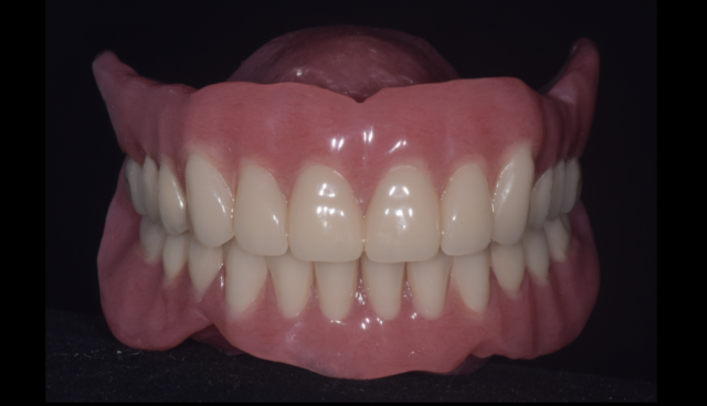
入れ歯治療症例

| 患者様の年齢 | 70代女性 |
|---|---|
| 治療期間 | 一年 |
| 費用の目安 | 上下各50万円 |
| 治療のデメリット | 入れ歯が動く、人工歯がすり減る、入れ歯が落ちる |
| 備考 | 抜歯後、治療用の入れ歯をセットし、咀嚼のリハビリテーション、よく噛めるかどうか、発音、審美性に問題がないか、半年ほど経過を観察しました。歯ぐきの吸収が激しく、ゼロから審美性なども精査し作り上げていった非常に難しいケースでした。人工歯は歯科医師自身が排列、並べています。 |
※掲載内容は、あくまでも症例です。治療の効果を保証するものではございません。

治療開始前:初診時、新しく入れ歯を作りたいという主訴で来院。




治療終了後:よく噛めるし、見た目もいいし、喋るのも問題ない。


