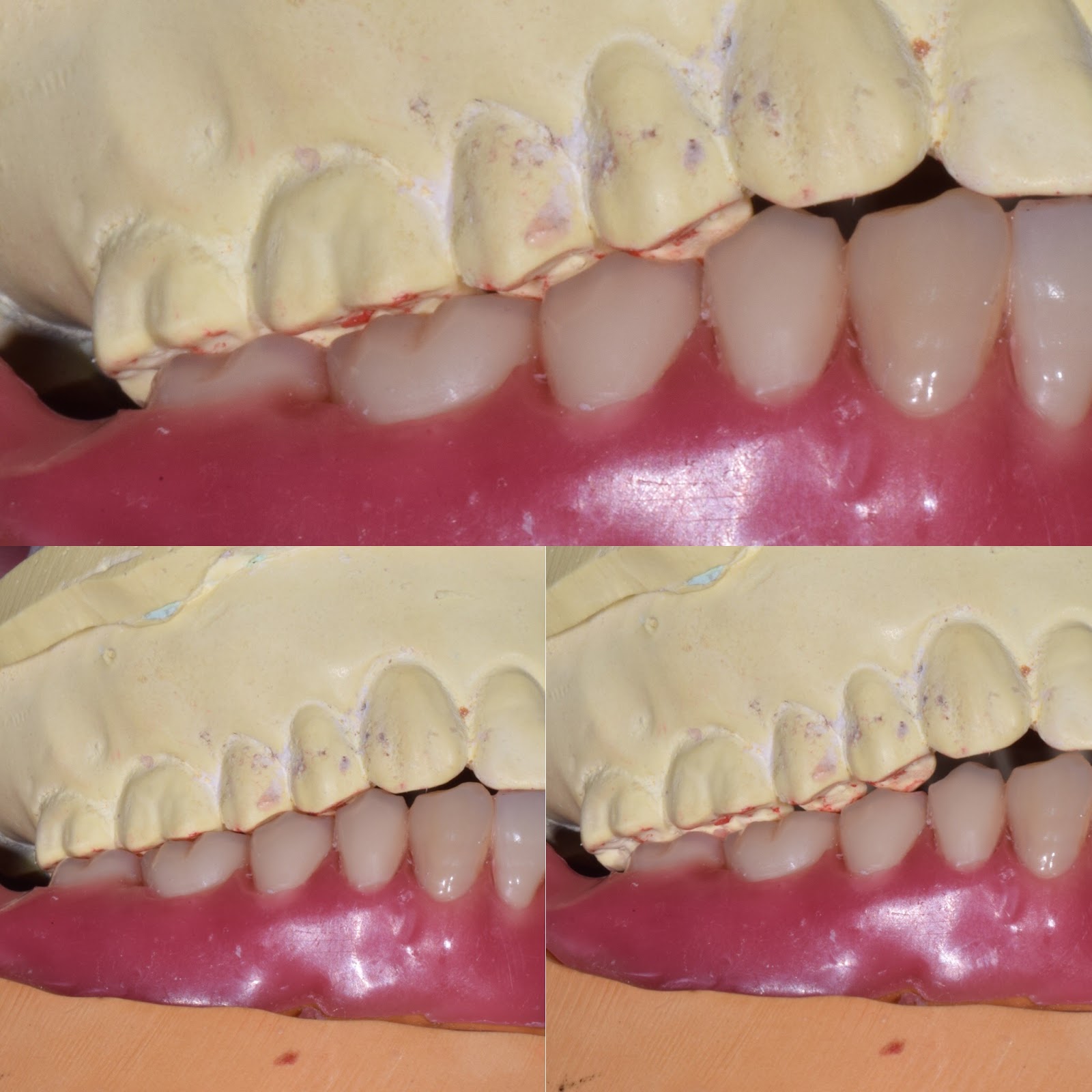
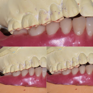
お知らせ INFORMATION ホーム > ブログ > BS歯科の歯科治療〜総義歯の作成〜 BS歯科の歯科治療〜総義歯の作成〜 2018/10/02 下の入れ歯の作成、人工歯の排列をしています。 排列はフルバランスオクルージョン。 発音、審美、かみ合わせなど、特に問題ありませんでしたので、次回セットします! « 前の記事次の記事 »